上池台、長原の歯科医院・歯医者なら

〒145-0064 東京都大田区上池台1-31-5 ソレイユルヴァン上池台1階
東急池上線「長原駅」改札より徒歩2分

診療時間
9:00~13:00 ×
14:30~18:00 ×

●:9:00~12:30/13:40~17:00

休診日:水曜・祝日

矯正治療とは

※自費診療です

矯正治療について

歯並びの悪さが影響するのは、外見だけではありません。噛み合わせが悪くなることで、全身の健康にも影響を及ぼします。

歯並びや噛み合わせが気になる方は、早い段階で矯正専門の歯科医師に診察を受け、治療の必要性などをご相談ください。

当院では、主にワイヤー矯正(歯にブラケットという装置を取り付け、そこにワイヤーを通して歯を動かす方法)という一般的な方法で治療を行なっています。

『9歳の壁』とは?

『9歳の壁』という言葉をご存じですか? 9歳前後は、脳細胞が急激に増えるといわれています。つまり、この時期に健康な歯でしっかりと噛んで脳へ刺激を送れば、脳細胞の発育を促進できるということです。 お子様が健康な生えしっかりと噛めているか確認し、歯並びや噛み合わせなど少しでも気になることがあれば、すぐにご相談ください。

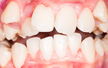
不正咬合が虫歯や歯周病の原因に

『不正咬合(歯並びや噛み合わせに異常がある状態)だと、歯磨きをしていても歯ブラシが届かなかったり、毛先が当たらなかったり、より適切な歯磨きを行なうことは難しくなります。そのため、歯垢や歯石を落としきれず、虫歯や歯周病などにかかりやすくなります。

特にお子様はその傾向が強いため、ご家族の方が毎回仕上げ磨きをしてあげる必要があります。

また、唾液には自浄作用があり、口の中をきれいにしてくれますが、噛み合わせが悪く食べ物をしっかりと噛めないと唾液の分泌量が少なくなり、自浄作用の効果も発揮されにくくなってしまいます。

大人の矯正治療

矯正治療は、骨格や顎の発育をコントロールしながらできるお子様の時期に始めるのが良いとされていますが、大人になってから治療を始めても、決して無駄ではありません。

お子様の場合は、ご家族の意思で治療を受けているということがほとんどです。そのため、治療中のケアなど行き届かない部分があり、予定通り治療が進まないということがあります。しかし大人は自分の意思で治療を行なうため、ケアが行き届き順調に治療を進行できます。

そのような観点からも、大人になってからの治療は有効です。

矯正治療には1期治療と2期治療があります。

1期治療

1期治療は小児矯正です。乳歯期や混合歯列期(乳歯と永久歯が生えている時期)に行なう治療で、骨格や顎の発育を適切な状態へとコントロールしながら整えるという目的があります。

使用する装置は2期治療(成人矯正)のようなワイヤー矯正などではなく、床矯正装置など取り外しできるものを使います。

1期治療を行なうことで、2期治療への移行が順調になったり、2期治療での抜歯の可能性を低減できます。場合によっては、1期治療のみで治療が完了します。

2期治療

2期治療は成人矯正です。始められる年齢は、患者様の歯並びの状態などによって個人差がありますが、一般的にすべて永久歯に生え変わっていれば治療を受けられます。 場合によっては混合歯列期(乳歯と永久歯が生えている時期)に2期治療を行ないます。

床矯正

床矯正は、お子様の顎の骨が適切な状態へと発育するようコントロールしながら整える方法です。

通常の矯正治療で抜歯する必要性のある歯でも、床矯正であれば抜歯やワイヤー矯正(歯にブラケットという装置を取り付け、そこにワイヤーを通して歯を動かす方法)を行なわず、顎の骨の発育を促進することで美しい歯並びへと改善できます。

装置は自分で取り外せるため、しっかりと歯磨きできます。また、早い段階で治療を受けられれば、期間も費用もそれほどかからず治療が完了します。

しかし、装置を取り外すときに破損する可能性があり、何よりお子様自身が積極的な気持ちで取り組まなければ、順調な進行が期待できません。

治療名:矯正治療
治療の説明:歯並びと噛み合わせの改善を目的に行う歯科治療。歯に矯正装置をつけて、歯やあごの骨に力をかけながらゆっくり動かしていきます。
リスクや副作用:歯と顎のバランスによってはご自身の歯を抜く場合があります。まれに歯の根が短くなる可能性があります。装置装着後、痛みを感じることがあります(歯が動く正常な反応なので心配ありません)。頬の粘膜・唇・舌などに、口内炎ができることがあります。歯周病等で歯ぐきが下がっている方は、歯を動かすことでさらに歯ぐきが下がる可能性があります。重なっていた歯がきれいに並んだことで歯ぐきと両隣の歯との間に三角形の隙間ができる可能性があります。
費用:全顎 495,000円 ※自費診療となります。

治療名:床矯正
治療の説明:取り外し式の装置を口の中に入れ、こどもの成長に合わせて少しずつ歯列の幅を広げることで自然な歯並びへと誘導する矯正方法です。
リスクや副作用:装着時に多少しゃべりづらくなる可能性があります(2,3週間ほどで慣れます)。歯列を広げる過程で少し痛みを感じる可能性があります。装置を正しく装着しないと治療期間が長くなる可能性があります。
費用:全顎 253,000円(延長が必要な時:全顎 258,750円) ※自費診療となります。

ページトップに戻る